
Start de behandeling met een nauwkeurige diagnose
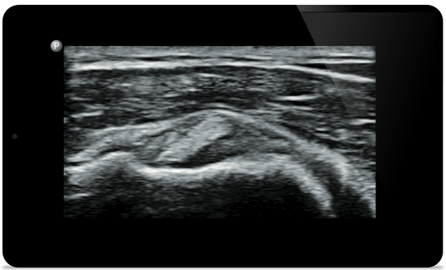
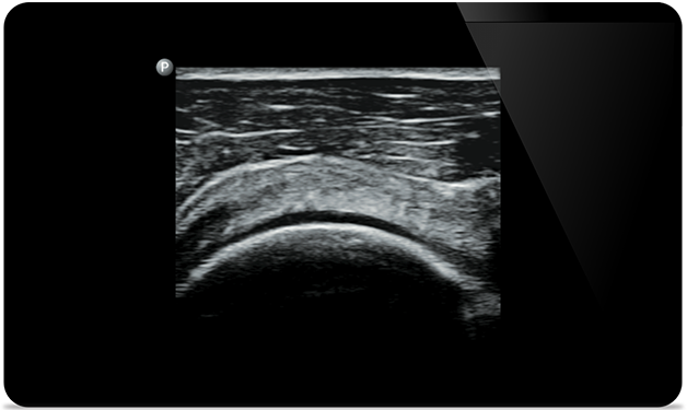
Lumify helpt u de fijne details in spieren, gewrichten, ligamenten, pezen en kraakbeen te zien om een nauwkeurigere diagnose te kunnen stellen.

Reageer snel met beeldvorming van het hele lichaam
Lumify kan u helpen patiënten van top tot teen te beoordelen, of het nu gaat om fasciitis plantaris, tendinitis of bursitis in de ligamentum patellae, of zelfs schouderinstabiliteit in de rotatorenmanchet.

Ervaar dezelfde duidelijkheid als grotere echografiesystemen met Lumify
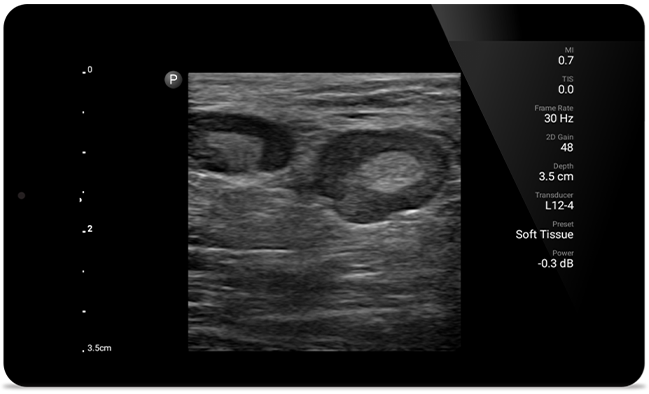
SonoCT versterkt de beeldvorming van het echte weefsel, terwijl willekeurige artefacten worden geëlimineerd. Deze technologie produceert beelden die beter zijn dan conventionele beeldvorming bij tot wel 94% van de patiënten.


Professor, Charles Sturt University















Video
Knie-aspiratie met
behulp van echografie

Casestudy
Gescheurde supraspinatus-pees

Beknopte handleiding
Heup-aspiratie met behulp van echografie
You are about to visit a Philips global content page
Continue