
Verminder complicaties bij CVC-plaatsingen
Realtime echografiebegeleiding kan de nauwkeurigheid en veiligheid van CVC-plaatsingen verbeteren.

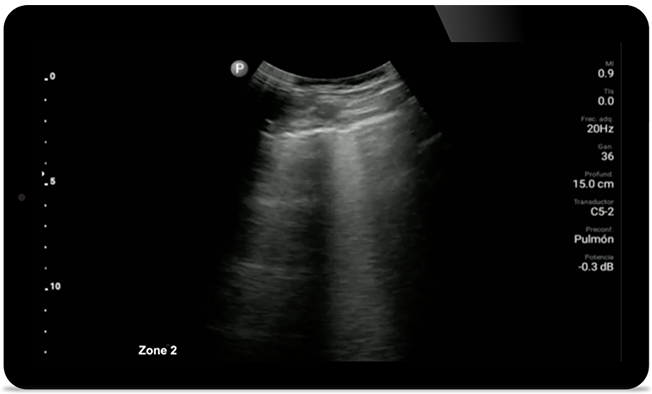
Houd longontstekingen door COVID in de gaten
Lumify kan vergelijkbare resultaten leveren als die van een CT-scan van de borstkas bij de evaluatie van longontsteking en acuut ademnoodsyndroom bij volwassenen (ARDS).

Reageer sneller om hun hart te beschermen
Wanneer elke seconde telt, kan draagbare echografie het verschil maken. Lumify kan de HD-beelden leveren, waar en wanneer u die nodig heeft.

















Casestudy
Mogelijkheid om cardiomyopathie ongedaan te maken

Tutorial
Introductie tot transthoracale echocardiografie

Beknopte handleiding
Gerichte nierechografie
You are about to visit a Philips global content page
Continue