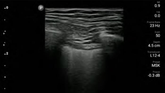
Verminder complicaties tijdens naaldgeleide procedures
De Lumify draagbare echografieoplossing voor loco regionale anesthesiologie helpt u bij het visualiseren van de omliggende zenuwen, vaten, omliggende weefsels en naald-in situ tijdens de procedure.

Gebruik Lumify voor luchtweg- en pulmonale beoordeling
De Lumify POCUS-oplossingen kunnen u helpen de endotracheale tube binnen de trachea te detecteren, ondersteuning te bieden bij urgente coniotomieprocedures, en diagnoses te stellen van pleurale effusie en interstitiële alveolaire ziekten.

Breng echografie naar het bed
Het gebruik van Lumify aan het bed van uw patiënt kan een waardevol hulpmiddel zijn om de status van de maaginhoud te bepalen en kan hetrisico op pulmonale aspiratie verlagen. Samen kan dit het risico op anesthesiecomplicaties verminderen.

















Lumify kan helpen de subtiele details van een beeld zichtbaar te maken en afwijkende weefselstructuren bloot te leggen vanuit verschillende hoeken. Hierdoor kunt u met vertrouwen realtime beslissingen nemen, van diagnose tot herstel.

Casestudy
Een patiënt met dyspneu

Tutorial
Pre-klinische point-of-care-hartechografie: longembolie

Korte lezing
Basisprincipes van longechografie
You are about to visit a Philips global content page
Continue