High-performance patient table
Features a 2,100 mm scannable range, accommodates up to 675 lbs (306 kg) and provides a low table height for easy access.
With advances in cardiac imaging and zero compromise scanning, Spectral CT 7500 supports imaging that's first time right.
With advances in cardiac imaging and zero compromise scanning, Spectral CT 7500 supports imaging that's first time right.

Simple workflow with spectral results 100% of the time
Spectral is always on, so every scan offers both conventional and 100% spectral results.

More types of patients
Expand cardiac and ED/trauma capabilities, and open up new possibilities in interventional and radiation oncology procedures.

Fast time to diagnosis
Routine scans with detector-based spectral CT have demonstrated 34% shorter time to diagnosis.*
Take a tour…just click the blue circles to discover some of the things that set Spectral CT 7500 apart.
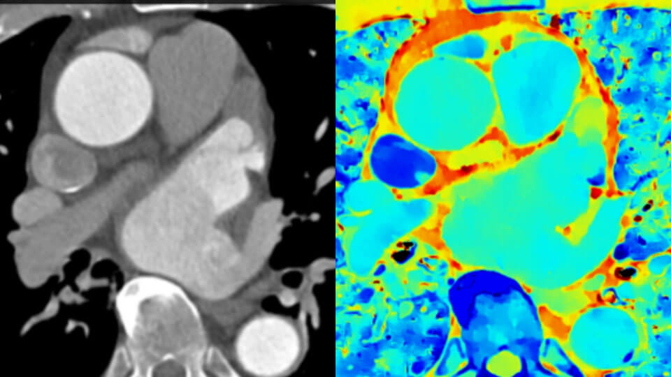
Expand and elevate your cardiac capabilities with full field-of-view spectral cardiac imaging. Reduce calcium blooming in coronary arteries.
Expand and elevate your cardiac capabilities with full field-of-view spectral cardiac imaging. Reduce calcium blooming in coronary arteries.

Conventional CT image (left) Spectral-detector CT image (right)
Now you can easily have both the “where things are” of conventional CT combined with the “what things are” revealed by spectral-detector data. Layers of rich spectral data improve tissue characterization and visualization, and may reduce the need for follow-up scanning for sub-optimal exams and incidental findings.

Conventional CT image (left) Spectral-detector CT image (right)
The truth about spectral CT may surprise you. See the top six misconceptions and the real story of detector-based spectral CT.
Connect to a specialist to see if spectral-detector CT is right for you.

Learn more about Spectral CT 7500

Discover the difference of spectral-detector technology

Discover all CT solutions
*Economic impact of IQon for patients with renal insufficiency. White paper. Philips.
You are about to visit a Philips global content page
Continue