
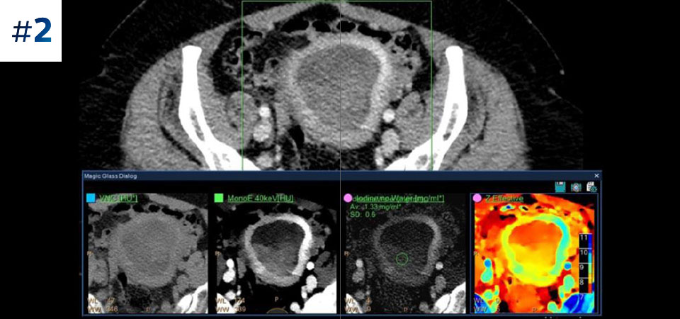
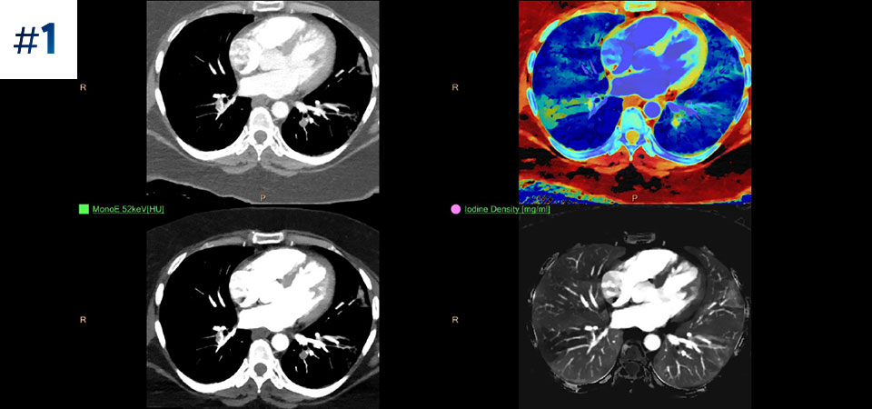
Permet une acquisition normale Une acquisition unique pour des données TDM classiques et spectrales rapides et à faible dose pour chaque patient, en toutes circonstances.

Est toujours disponible Acquisition entièrement spectrale et toujours disponible, même rétrospectivement, pour les résultats à la demande.

Réduction des examens de suivi L’amélioration de la caractérisation et de la visualisation des tissus peut réduire le besoin d’acquisition de suivi en cas d’examens sous-optimaux et de découvertes inattendues.

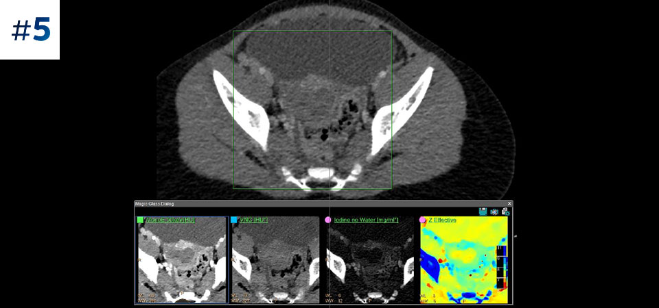
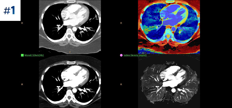
Prend en charge toutes les catégories de patients Du patient pédiatrique au patient bariatrique.
Allez au-delà de la TDM classique. Découvrez de quelle manière des couches de résultats issus de scanners à détection spectrale peuvent améliorer la fiabilité de votre diagnostic.
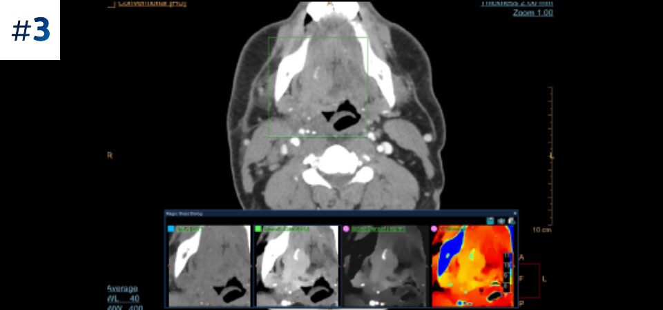
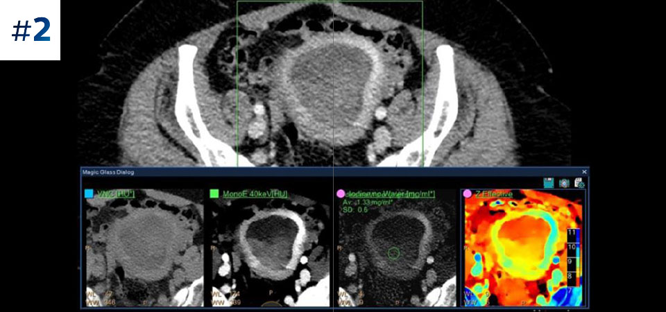
Masse cervicale
Notre scanner à détection spectrale Philips nous permet d’acquérir des données TDM classiques et spectrales en une seule acquisition, sans modification de notre processus de travail actuel.
Dr Charles White
Professeur de médecine pulmonaire et de médecine critique, École de médecine de l’Université du Maryland
Des événements passionnants relatifs aux scanners à détection spectrale se produisent cette année. Inscrivez-vous pour recevoir des mises à jour et soyez informé en priorité des nouveautés à venir ou contactez un ingénieur commercial pour en savoir plus.

Observez la différence entre le scanner à détection spectrale et le scanner classique

Découvrez les avantages du scanner à détection spectrale

Vivez de nouveau le sommet virtuel de 2020 sur la TDM spectrale de Philips

Découvrez toutes les solutions de TDM
You are about to visit a Philips global content page
Continue