Notre suite dédiée au vasculaire offre des outils interventionnels dédiés et des dispositifs vasculaires avancés pour assurer des niveaux élevés de normalisation et redéfinir les résultats du traitement pour vos patients souffrant d’un trouble vasculaire périphérique. Chaque étape de votre procédure est prise en charge : vous décidez, vous orientez, vous traitez et vous confirmez les résultats de traitement.

Nos solutions hybrides Azurion pour BO offrent un environnement de soins chirurgicaux innovant, caractérisé par une grande flexibilité d’intervention et une grande facilité d’utilisation, tout en répondant aux normes les plus strictes en matière d’hygiène et de contrôle des infections chirurgicales. Ce système avec suspension plafonnière offre une flexibilité d’imagerie illimitée pour un grand nombre de procédures, ainsi qu’une liberté de positionnement exceptionnelle pour les équipes médicales. Compact et hautement économique, ce système peut être utilisé pour les procédures de demain. Parce qu’il travaille autour de vous, le système Philips Azurion équipé d’un statif FlexArm vous aide à optimiser les performances de votre salle interventionnelle et à délivrer des soins de meilleure qualité.

Nos cathéters d’imagerie périphérique permettent d’évaluer la localisation de la maladie et la morphologie de la lésion, y compris le calcium et le thrombus. L’échographie intravasculaire permet également de dimensionner les stents de manière appropriée et de confirmer l’exhaustivité du traitement.

Nos dispositifs d’athérectomie périphérique constituent d’excellents outils pour éliminer les blocages de la circulation sanguine. Nos produits sans laser fonctionnent de manière autonome et n’ont pas besoin d’être associés à d’autres systèmes.

La gamme évolutive de produits et de technologies vasculaires périphériques de Philips permet aux cliniciens d’évaluer rapidement et précisément les patients atteints de troubles vasculaires périphériques et de préparer les vaisseaux pour l’administration précise d’un traitement optimal.

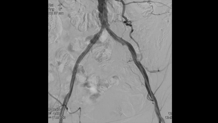
Images de haute définition de vaisseaux avec une vascularité très détaillée pour prendre en charge des stratégies de traitement, une navigation et un suivi de la plus grande précision.

Voyez clairement, traitez de manière optimale La gamme d’appareils Philips offre aux médecins la possibilité de visualiser clairement et de traiter de manière optimale.

Philips QuickClear Le nouveau système de thrombectomie mécanique QuickClear de Philips facilite les tâches des médecins grâce à une simple pression d’un bouton de commande. Il est opérationnel en quelques secondes. La constance de la puissance d’aspiration pendant la procédure permet aux médecins de mieux contrôler et de réduire la durée de la procédure.
Solutions pour les procédures aortiques proposées par l’imagerie interventionnelle Philips.
Cliquez ici pour en savoir plus Références bibliographiques 1 Jens S, Marquering HA, Koelemay MJ, Reekers JA. Perfusion angiography of the foot in patients with critical limb ischemia: description of the technique. Cardiovasc Intervent Radiol. 2015 Feb;38(1):201-5. doi: 10.1007/s00270-014-1036-5. 2 Certaines modalités de crédit sont requises et chaque client doit faire l’objet d’une approbation de crédit. Tous les clients ne sont pas admissibles. Sous réserve de l’accord du programme. 3 Les résultats sont propres à leur établissement d’obtention et peuvent différer des résultats réalisables dans d’autres établissements.
You are about to visit a Philips global content page
Continue