Les interventions cardiaques structurelles peu invasives modifient le paysage thérapeutique. Les exigences des procédures cardiaques structurelles et valvulaires transcutanées nécessitent un environnement évolutif et entièrement intégré fournissant la bonne image et les bonnes informations au bon moment. Notre gamme de produits pour la cardiopathie structurelle est conçue pour permettre aux équipes cardiaques de développer leur programme et de mener à bien les innovations à venir en matière de transcathéter grâce à la flexibilité des processus de travail et à l’intégration de l’imagerie multimodale. Cela améliore la communication, l’efficacité et la fiabilité dans la navigation du dispositif de guidage anatomique et le positionnement précis de l’appareil.

La suite de cardiopathie structurelle Azurion a été conçue pour s’adapter aux besoins de votre processus de travail, en permettant au système de fonctionner de manière fluide autour de vous afin que vous puissiez vous concentrer sur votre patient.
Grâce aux ProcedureCards (cartes de procédures), le contrôle de la salle à portée de main avec une flexibilité illimitée et la génération en temps réel de la fusion des données d’imagerie critiques améliorent l’efficacité du laboratoire et la fiabilité à chaque étape du traitement.
Au cœur de notre suite, la solution unique EchoNavigator est un bon exemple de l’engagement de Philips en faveur de la multimodalité et de l’intégration des processus de travail, en offrant les avantages des deux systèmes de la part du leader du secteur des solutions cardiaques interventionnelles par rayons X et par ultrasons.
Le parcours d’un patient TAVI avec IntelliSpace Cardiovascular
Témoignage client de l’Hackensack University Medical Center
Nous n’aurions pas pu développer certaines de ces procédures à moins de savoir que nous disposions de capacités d’imagerie de pointe."
Dr Adam Greenbaum
MD, FACC, Co-directeur FSCAI du Centre de cardiopathie structurelle, Henry Ford Hospital, Detroit, Michigan, États-Unis
Le système se déplace autour de nous, et non pas le contraire."
Dr Carlos E. Ruiz
M.D., Ph.D., FACC, FESC, Directeur MSCAI, Centre de cardiopathie structurelle et congénitale, centre médical de l’Université Hackensack et hôpital pour enfants Joseph M. Sanzari, professeur de cardiologie en pédiatrie et en médecine

Superposition ETO 3D temps réel du déploiement de l’occlusion de l’appendice auriculaire gauche avec EchoNavigator

Segmentation de modèle 3D EchoNavigator

Dimensionnement de remplacement valvulaire aortique percutané entièrement automatisé avec HeartNavigator

Visualisation de la réparation mitrale de la régurgitation post-implant

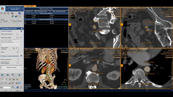
Évaluation automatisée de la voie d’accès IntelliSpace Cardiovascular

TrueVue du rendu 3D Zoom pour l’appendice auriculaire gauche avec visualisation MultiVue

Guidage de ponction transseptale à l’aide d’EchoNavigator

Optimisation de la vue de la valve mitrale avec les modèles cardiaques EchoNavigator
Optimisation de la vue de la valvule tricuspide avec les modèles cardiaques EchoNavigator

Visualisation TrueVue de la réparation mitrale bord à bord

Visualisation des valves mitrale et aortique avec les modèles cardiaques EchoNavigator
Solutions pour les interventions TAVI - TAVR proposées par l’imagerie interventionnelle Philips.
Cliquez ici pour en savoir plusLes solutions d’imagerie interventionnelle Philips vous permettent de rester au cœur des procédures de traitement percutané (transcathéter) des valves mitrale et tricuspide.
Cliquez ici pour en savoir plusSolutions pour les procédures d’occlusion de l’appendice auriculaire gauche proposées par l’imagerie interventionnelle Philips.
Cliquez ici pour en savoir plus
Remplissez le formulaire, nous vous recontacterons au plus vite !
Environnement clinique
Echonavigator est un dispositif de classe IIa, fabriqué par Philips et dont l'évaluation de la conformité a été réalisée par l'organisme notifié DEKRA Certification BV CE0344. Il est destiné à la visualisation, l’analyse et au diagnostic médical par imagerie. Les actes diagnostiques sont pris en charge par les organismes d’assurance maladie dans certaines situations. Lisez attentivement la notice d’utilisation. Janvier 2022.
IntelliSpace Cardiovascular est un dispositif médical de classe IIa, fabriqué par Philips et dont l’évaluation de la conformité a été réalisée par l'organisme notifié DEKRA Certification BV CE0344. Il est destiné à la visualisation, l’analyse et diagnostic des images. Les actes diagnostiques sont pris en charge par les organismes d’assurance maladie dans certaines situations. Lisez attentivement la notice d’utilisation. Janvier 2022.
You are about to visit a Philips global content page
Continue