
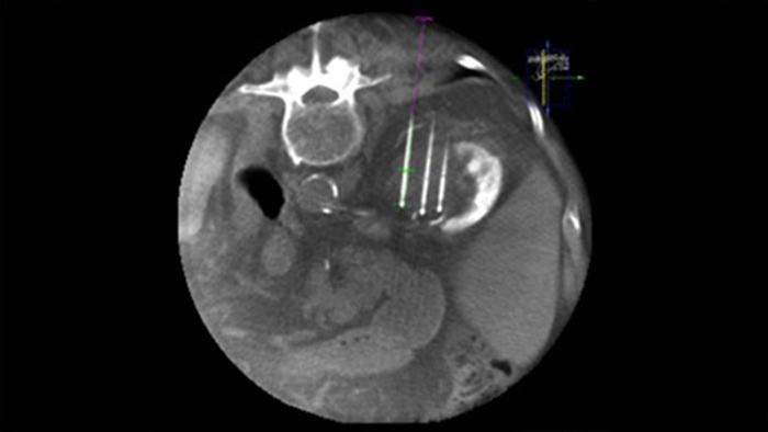
L’hétérogénéité des lésions et le manque de visibilité limitent la qualité des échantillons ainsi que la faisabilité des biopsies effectuées sous échographie ou TDM classique. Avec l’adoption croissante des programmes de dépistage du cancer du poumon, les cancers du poumon à un stade précoce se manifestant par de petits nodules ont été détectés plus fréquemment par le passé. On a observé que 14,5 % d’une population dépistée présentait des nodules ≤ 10 mm.1-2 Notre technologie de navigation avec visualisation de l’aiguille avec CBCT augmente la précision et permet de cibler avec plus d’exactitude des lésions plus petites (<=1 cm) ou hétérogènes avec moins de repositionnement des aiguilles et à une dose plus faible que la tomodensitométrie conventionnelle.1-2
par rapport à la tomodensitométrie conventionnelle 1
moins de repositionnement d’aiguille par rapport à la tomodensitométrie conventionnelle 1
6 fois inférieure par rapport à la tomodensitométrie conventionnelle 1


L’ablation percutanée (radiofréquence, micro-ondes et cryoablation) est un traitement peu invasif bien établi des tumeurs des reins, du foie, des poumons et des os. Il est essentiel de définir les limites de la tumeur et de décider d’un nombre optimal d’aiguilles et de la trajectoire d’aiguille correspondante afin de pouvoir effectuer un traitement complet de la tumeur sans endommager les tissus environnants.
Une navigation précise à faible dose vers la lésion concernée sans repositionnement de l’aiguille augmente les chances de réussite et réduit le risque de complications de vos biopsies ou de vos ablations. La confirmation du point final du traitement d’ablation s’effectue avec l’imagerie 3D lorsque le patient est encore sur la table.

SmartCT Soft Tissue offre une technique d’acquisition CBCT (Cone Beam CT) complétée par un guidage pas à pas des outils de visualisation 3D et de mesure avancés, tous accessibles sur le module à écran tactile depuis la table.

Le double affichage permet de superposer une image 3D avant la procédure (TDM/IRM/TEP-TDM) sur une image CBCT 3D double affichage au cours de la procédure pour mieux visualiser les lésions et accéder aux données critiques pour la planification des aiguilles.

XperGuide fournit un guidage par imagerie en temps réel très précis de chaque aiguille vers une position cible en superposant les trajectoires préplanifiées avec l’imagerie fluoroscopique.3

Grâce à CBCT, faites l’acquisition d’une image CBCT après ablation pour démontrer l’étendue de la couverture tumorale et confirmer l’exhaustivité du traitement.
Des solutions pour un guidage efficace dans le traitement et la prise de décision en matière d’embolisation tumorale proposées par l’imagerie interventionnelle Philips.
Cliquez ici pour en savoir plus Références bibliographiques * XperGuide Ablation est une fonctionnalité en option de XperGuide 1. Abi-jaoudeh et al , Cone Beam vs Conventional CT Navigation for Image-Guided Biopsy, J VascIntervRadio; 2016; 27: 1342–1349. 2. Floridi C et al, Percutaneous needle biopsy of mediastinal masses under C-arm conebeam CT guidance: diagnostic performance and safety, Medical Oncology, 2017; 34(4): 1-7 3. Ji Yung Choo; Percutaneous transthoracic needle biopsy of small (1 cm) lung nodules under C-arm cone-beam CT virtual navigation guidance; Eur Radiol (2013) 23:712–719.
You are about to visit a Philips global content page
Continue