
Neurohoofdsteun
Kan worden gebruikt om bewegingsartefacten tijdens de procedure te helpen verminderen.
Uw vermogen om de extreem complexe pathologieën van arterioveneuze malformaties (AVM's), fistels en andere misvormingen te visualiseren, is van essentieel belang voor het nemen van de juiste beslissing over een eventuele behandeling of bewaking van een patiënt. Neurospecialisten vertrouwen al tientallen jaren op geavanceerde neurologische beeldvormingsoplossingen van Philips bij het nemen van betrouwbare plannings- en behandelingsbeslissingen voor AVM-interventies. Nu AVM's zonder scheuren steeds vaker worden bewaakt, kunnen onze unieke beeldvormingsmogelijkheden opnieuw het verschil maken.

Tijdens neurologische interventies is het doel om duidelijk zicht te hebben terwijl de omgeving voor alle betrokkenen veilig blijft. De Philips Neurovascular Suite met het toonaangevende Azurion 7-röntgensysteem met 20-inch en 15-inch detector is ontworpen om de behandeling te verbeteren en effectieve geleiding te ondersteunen terwijl u werkt. Bedien alle relevante toepassingen naadloos via één touchscreen bij de tafel, zodat u snel geïnformeerde beslissingen kunt nemen in het steriele veld.

SmartCT Angio biedt binnen een paar seconden een volumetrische weergave ter ondersteuning van de beoordeling van aanvoerende slagaders, afvoerende aders, gearterialiseerde aderen, nidus en gescheurde of niet-gescheurde pathologie om de besluitvorming te geleiden. 3D-volumes worden gevisualiseerd met een hoge ruimtelijke resolutie en automatische compensatie van patiëntbewegingen om de zichtbaarheid van cruciale details te verbeteren.

De mogelijkheid om vasculaire anatomie van minder dan een millimeter te visualiseren vergroot de kans op slaging en verhoogt het vertrouwen in de behandeling. SmartCT Vaso biedt 3D-beeldvorming met een hoge resolutie die belangrijke informatie over vaatstructuren in de hersenen oplevert ter ondersteuning van de best mogelijke ruimtelijke beoordeling van de bloedvaten in een omgeving met weke delen.

SmartCT Roadmap biedt een live 3D-beeldoverlay die kan worden gesegmenteerd om het beoogde bloedvat en de laesies te benadrukken, waardoor snelle katheternavigatie wordt ondersteund. De SmartCT Roadmap overlapt een 3D-reconstructie van de vaatboom, de vaatsegmenten of annotaties met live fluoroscopie.

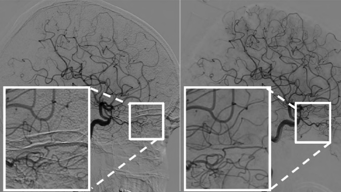
Wanneer u AVM's gedurende langere tijd bewaakt, kunnen subtractieartefacten klinische informatie verhullen. De unieke automatische pixelverschuiving van Philips ClarityIQ helpt potentieel misleidende informatie in real time en zonder gebruikersinteractie te verwijderen.

Tijdens de behandeling kunnen subtractieartefacten de richting waarin de vloeibare embolische stoffen zich verplaatsen verhullen. Met de automatische pixelverschuiving in onze ClarityIQ kunt u de richting van het vloeibare embolische middel en de aankomst ervan visualiseren.

In de Roadmap Pro-lijmmodus worden al geëmboliseerde vaten uitgefilterd, zodat u zich kunt concentreren op wat u injecteert en hoe het zich verspreidt.
| Controleer het eindresultaat en identificeer mogelijke bloedingen |

SmartCT Soft Tissue is een acquisitietechniek waarmee een CT-achtige visualisatie van weke delen ten opzichte van andere structuren tijdens procedures wordt gegenereerd. U kunt de CT-achtige beelden gebruiken om weke delen na een AVM te beoordelen om het uiteindelijke resultaat te controleren en mogelijke bloedingen te identificeren wanneer de patiënt nog op de tafel ligt.
Azurion biedt een aantal workflow-innovaties die zijn ontworpen om personeel efficiënt en gemakkelijk te laten werken met volledige focus op de patiënt en om de stralingsdosis te beheren tijdens interventies voor AVM.


Kan worden gebruikt om bewegingsartefacten tijdens de procedure te helpen verminderen.
You are about to visit a Philips global content page
Continue
FlexVision Pro geeft u volledige controle over alle verbonden toepassingen, zoals het CX50x Matrix-echoapparaat en alle interventionele hulpmiddelen bij de tafel, om tijd te besparen en te voorkomen dat personeel onnodig in en uit het steriele gebied moet lopen.
You are about to visit a Philips global content page
Continue
Helpt u de dosis te verlagen door het systeem of de tabel in te stellen op Last Image Hold, zodat u uw volgende run kunt voorbereiden zonder fluoroscopie te gebruiken.
You are about to visit a Philips global content page
Continue * Söderman M, Holmin S, Andersson T, Palmgren C, Babic D, Hoornaert B. Image noise reduction algorithm for digital subtraction angiography: clinical results. Radiology. 2013 Nov;269(2):553-60.De resultaten van de toepassing van dosisreductietechnieken zijn afhankelijk van de klinische taak, de grootte van de patiënt, de anatomische locatie en de klinische praktijk. De interventieradioloog, die zo nodig wordt geassisteerd door een fysicus, moet de juiste instellingen voor elke specifieke klinische taak bepalen. Resultaten gebaseerd op DSA Dose Area Product per frame uit een prospectief gerandomiseerd onderzoek met één centrum en 20 patiënten. DSA-runs voor Allura Xper met ClarityIQ en Allura Xper zonder ClarityIQ zijn verworven op het frontale en laterale kanaal van dezelfde patiënt onder dezelfde conditie qua geometrie, gezichtsveld en injectieprotocol. De beeldkwaliteit werd gebaseerd op subjectieve beoordeling (score 1-5, 1=zeer slecht, 5=uitstekend, geblindeerde beoordeling door 3 radiologen die bij het onderzoek betrokken waren).
ClarityIQ-technologie verlaagt de patiëntdosis met 75% bij neuro DSA* en biedt een gelijkwaardige beeldkwaliteit als een systeem zonder ClarityIQ om een brede patiëntenpopulatie te ondersteunen. Dankzij de automatische bewegingscompensatie worden schedel- en bewegingsartefacten verwijderd, wat van essentieel belang is bij de plaatsing van kleine instrumenten bij de schedelbasis.
You are about to visit a Philips global content page
Continue
Biedt directe toegang tot en volledige controle over preoperatieve diagnostische scans, patiëntgegevens en planningshulpmiddelen bij de tafel, zodat u tijd kunt besparen en niet onnodig in en uit het steriele gebied hoeft te lopen. Met de touchscreenmodule Pro kunt u beelden en toepassingen eenvoudig bij de tafel bedienen via een tablet.
You are about to visit a Philips global content page
Continue
ClarityIQ-technologie verlaagt de patiëntdosis met 75% bij neuro-DSA1 en biedt een gelijkwaardige beeldkwaliteit als een systeem zonder ClarityIQ. Dankzij de automatische bewegingscompensatie worden schedel- en bewegingsartefacten verwijderd, wat van essentieel belang is bij de plaatsing van kleine instrumenten bij de schedelbasis.

Zero Dose Positioning helpt u de dosis te verlagen door het mogelijk te maken om de tafel te pannen, de tafelhoogte te wijzigen of het röntgensysteem in te stellen op Last Image Hold om de nieuwe middenpositie te bepalen. Zo kunt u uw volgende run voorbereiden zonder fluoroscopie te gebruiken.

Biedt directe toegang tot en volledige controle over preoperatieve diagnostische scans, patiëntgegevens en planningshulpmiddelen bij de tafel, zodat u tijd kunt besparen en niet onnodig in en uit het steriele gebied hoeft te lopen.

Met ProcedureCards wordt de systeemconfiguratie gestroomlijnd en gestandaardiseerd en kan het aantal voorbereidingsfouten worden verlaagd. Selecteer de AVM ProcedureCard om het systeem in te stellen zoals u dat wilt. Ziekenhuisspecifieke aneurysmaprotocollen en/of controlelijsten kunnen worden toegevoegd aan ProcedureCards en worden weergegeven op monitoren. Eén ziekenhuis heeft de voorbereidingstijd in het lab met 12% teruggebracht met behulp van ProcedureCards.2

Kan worden gebruikt om onrustige patiënten rustig te houden met bewuste sedatie om bewegingsartefacten tijdens de procedure te helpen beperken.
Wees klaar om nieuwe uitdagingen aan te gaan bij de behandeling van ischemische beroerte.
Klik hier voor meer informatieOplossingen voor de behandeling van cerebrale aneurysma's om de zekerheid tijdens neuro-interventies met behulp van beeldgeleide therapie van Philips te vergroten.
Klik hier voor meer informatie Referenties * Zoals beschreven in de gebruiksaanwijzing van SmartCT. 1. Söderman M, Holmin S, Andersson T, Palmgren C, Babic D, Hoornaert B. Image noise reduction algorithm for digital subtraction angiography: clinical results. Radiology. 2013 Nov;269(2):553-60.De resultaten van de toepassing van dosisreductietechnieken zijn afhankelijk van de klinische taak, de grootte van de patiënt, de anatomische locatie en de klinische praktijk. De interventieradioloog, die zo nodig wordt geassisteerd door een fysicus, moet de juiste instellingen voor elke specifieke klinische taak bepalen. Resultaten gebaseerd op DSA Dose Area Product per frame uit een prospectief gerandomiseerd onderzoek met één centrum en 20 patiënten. DSA-runs voor Allura Xper met ClarityIQ en Allura Xper zonder ClarityIQ zijn verworven op het frontale en laterale kanaal van dezelfde patiënt onder dezelfde conditie qua geometrie, gezichtsveld en injectieprotocol. De beeldkwaliteit werd gebaseerd op subjectieve beoordeling (score 1-5, 1=zeer slecht, 5=uitstekend, geblindeerde beoordeling door 3 radiologen die bij het onderzoek betrokken waren). 2. In een simulatieonderzoek met meer dan 60 gebruikers wereldwijd, met resultaten die werden verkregen tijdens gebruikerstests tussen november 2015 en februari 2016. De tests werden ontwikkeld en uitgevoerd door Use-Lab GmbH, een onafhankelijk en objectief bedrijf dat bruikbaarheidstests ontwikkelt, adviseert over de uitvoering daarvan en gebruikersinterfaces ontwerpt. Bij de tests waren 31 clinici uit de VS (16 artsen en 15 technici) en 30 clinici uit Europa (15 artsen en 15 technologen) betrokken, die procedures met Azurion uitvoerden in een gesimuleerde interventionele labomgeving.
You are about to visit a Philips global content page
Continue