We houden geavanceerde beeldgeleiding zo eenvoudig en effectief mogelijk, zodat chirurgische teams zich op het behandelen van patiënten kunnen richten. Dankzij de onbeperkte systeemflexibiliteit kunt u de gewenste manier van werken gebruiken met vrije positionering aan het hoofdeinde. Onze speciale neurohulpmiddelen geven u tijdens elke stap van een procedure de volledige controle terwijl u de resultaten bepaalt, geleidt, behandelt en bevestigt.
Beeldgeleide therapie van Philips biedt de Neurovascular Suite met een flexibele portfolio van geïntegreerde technologieën, services en neuroaccessoires waarmee u de controle hebt.
Klik hier voor meer informatieOplossingen voor wervelkolomprocedures die geavanceerde realtimebeeldgeleiding bieden met uitzonderlijke workflowflexibiliteit voor de Hybrid OR, waarmee u snelle, nauwkeurige en vereenvoudigde procedures kunt uitvoeren, mogelijk gemaakt door beeldgeleide therapie van Philips.
Klik hier voor meer informatie
Tijdens neurochirurgie is het doel om duidelijk te zien terwijl alle betrokkenen veilig blijven. Het toonaangevende Azurion 7 biplane röntgensysteem is ontworpen voor verbetering van de behandeling en ondersteuning van effectieve geleiding terwijl u werkt. Dankzij de perfect passende FD20/15-detector kan de 15-inch detector dicht bij het hoofd van de patiënt worden geplaatst, waardoor het hoofd van kruin tot hals wordt bedekt. Alle relevante toepassingen kunnen naadloos worden bediend via één touchscreen bij de tafel, zodat u snel en geïnformeerd beslissingen kunt nemen in het steriele veld.

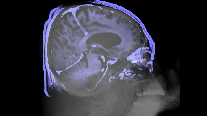
XperGuide biedt live 3D-beeldgeleiding van naalden, zodat u percutane naaldprocedures in de Hybrid OR kunt uitvoeren. Het legt live fluoroscopie- en 3D-beeldgegevens van weke delen van eerder verworven CT- of MR-scans of Philips XperCT over elkaar en biedt zo informatie over het naaldtraject en het doel.

AneurysmFlow is ontworpen om u relevante informatie te geven voor en na de implementatie van de flowdiverter. Het visualiseert en kwantificeert flowveranderingen voor meer vertrouwen in de procedurele effectiviteit.
Hebt u beeldvorming nodig in een gewone OK? Met mobiele C-boogoplossingen van Philips kunt u snel en eenvoudig scherpe, gedetailleerde beelden verkrijgen ter ondersteuning van geïnformeerde beslissingen tijdens orthopedische procedures, pijnbestrijding, vasculaire en andere chirurgische procedures in de OK.
Referenties 1. Geëvalueerd door klinische gebruikers in een gesimuleerde laboratoriumomgeving met in totaal 17 teams, bestaande uit een arts en een radiotechnoloog met verschillende ervaringsniveaus.
You are about to visit a Philips global content page
Continue