
Le préréglage de la vésicule biliaire est optimisé pour assurer une bonne pénétration et une résolution exceptionnelle dans la vésicule biliaire. Ce préréglage est idéal pour détecter un épaississement pathologique de la paroi vésiculaire et les calculs biliaires.


Le préréglage pulmonaire est optimisé pour faire apparaître les artéfacts associés aux examens pulmonaires et permet une visualisation simple du glissement pleural au niveau de l’interface pleurale. Les techniques d’imagerie avancée (harmoniques, SonoCT, XRes) sont désactivées dans ce préréglage afin d’améliorer la visualisation de signes tels que “Ligne A” et “Ligne B”.


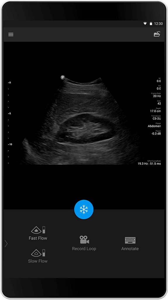
Le préréglage abdominal est optimisé pour permettre une pénétration efficace et une imagerie abdominale polyvalente. L’optimisation du Doppler couleur au niveau abdominal est conçue pour faire apparaître les flux rapides dans les artères abdominales et les flux lents dans des organes tels que les reins.


L’optimisation du préréglage gynécologie/obstétrique utilise la technique d’imagerie tissulaire harmonique pour la délimitation des zones remplies de liquide et la visualisation détaillée des tissus dans des applications obstétriques et gynécologiques.

En cliquant sur le lien, vous quitterez le site Web officiel de Royal Philips (« Philips »). Tous les liens vers des sites Web tiers pouvant apparaître sur ce site sont fournis uniquement pour votre commodité et ne représentent en aucun cas une affiliation ou une approbation des informations fournies sur ces sites Web liés. Philips ne fait aucune déclaration ou garantie d'aucune sorte concernant les sites Web tiers ou les informations qu'ils contiennent.
Je comprendsYou are about to visit a Philips global content page
ContinueEn cliquant sur le lien, vous quitterez le site Web officiel de Royal Philips (« Philips »). Tous les liens vers des sites Web tiers pouvant apparaître sur ce site sont fournis uniquement pour votre commodité et ne représentent en aucun cas une affiliation ou une approbation des informations fournies sur ces sites Web liés. Philips ne fait aucune déclaration ou garantie d'aucune sorte concernant les sites Web tiers ou les informations qu'ils contiennent.
Je comprendsYou are about to visit a Philips global content page
ContinueSelect country/region
Belgique (Français)Notre site s'affiche mieux sur la dernière version d'Microsoft Edge, Google Chrome ou Firefox.