

Remplissez le formulaire et quelqu’un vous contactera.

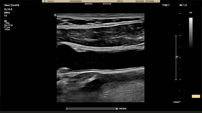
La sonde xMATRIX XL14-3 intègre 56 000 éléments remarquables, chacun connecté à un microcanal séparé. La sonde XL14-3 offre une focalisation électronique multidimensionnelle pour une imagerie échographique en coupes ultrafines de l’anatomie vasculaire et de la morphologie de plaque. Atout majeur : une fiabilité du diagnostic exceptionnelle lors de l’évaluation d’une sténose et d’une plaque vulnérable.


La sonde xMATRIX XL14-3 offre une imagerie xPlan qui va au-delà de l’approche conventionnelle des examens vasculaires, en fournissant des images en temps réel, simultanément dans des plans longitudinaux et transversaux. Atout majeur : avec l’imagerie xPlan, il n’est plus nécessaire de faire pivoter la sonde pour obtenir des vues orthogonales. Un simple mouvement de la boule de commande permet d’obtenir une évaluation anatomique complète, ce qui permet de gagner du temps lors de l’examen.


La sonde xMATRIX XL14-3 offre également les capacités du Doppler xPlan. Le Doppler pulsé xPlan permet un positionnement précis du volume d’échantillonnage du Doppler en utilisant des images de référence longitudinales et transversales. Atout majeur : Doppler xPlan réduit les erreurs de positionnement du volume d’échantillonnage. Il offre aussi une reproductibilité plus fiable et une meilleure cohérence lors de l’échantillonnage d’une sténose importante.



La sonde XL14-3


L’interface utilisateur 3D/4D permet également de générer un moulage du vaisseau en utilisant les flux de données. L’image du vaisseau 3D permet la visualisation directe du flux pour une analyse plus approfondie des états sténosés ou tortueux. Atout majeur : la visualisation 3D/4D de haute qualité de l’anatomie vasculaire constitue un outil de communication idéal pour faciliter la prise de décision clinique parmi les professionnels de la santé et améliorer la consultation avec les patients afin de les aider à comprendre leur état.



Le traitement nouvelle génération des images de Philips améliore l’imagerie vasculaire en offrant une superbe délimitation des interfaces vasculaires et une meilleure perception de la texture de plaque. En réduisant le flou dans les vaisseaux et les artefacts, XRES Pro améliore la fiabilité du diagnostic lors de la réalisation d’examens d’imagerie vasculaire chez les patients, y compris ceux qui sont techniquement difficiles.



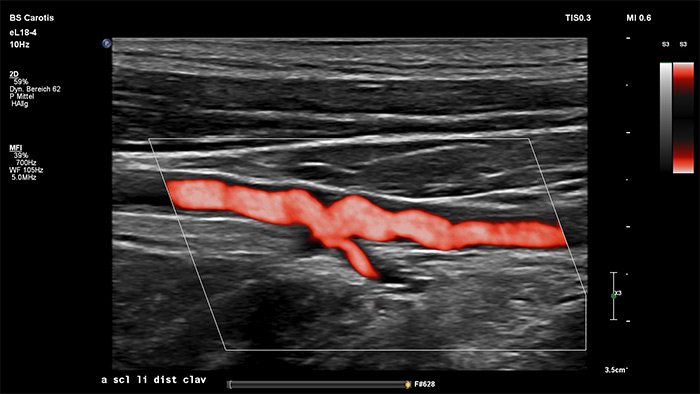
MicroFlow Imaging de Philips est conçu pour détecter les flux de très faible vitesse et de petit calibre au sein des tissus, avec une sensibilité remarquable, et améliore la résolution du flux lors d’explorations vasculaires. Grâce à sa haute résolution et à son faible nombre d’artefacts, les cliniciens peuvent visualiser et caractériser des perturbations subtiles du débit autour d’une plaque sténosée afin d’établir des diagnostics fiables.





Ergonomiques et légères, les sondes de notre large gamme sont disponibles dans différentes configurations. Elles vous apportent une meilleure qualité d'image avec une excellente pénétration et moins d’artefacts. Cliquez sur le lien ci-dessous pour découvrir notre gamme complète de sondes d’échographie et télécharger des instructions détaillées sur l’entretien et la maintenance.

Les dernières avancées majeures en matière d’échographie Premium contribuent à soulager les hôpitaux et systèmes de santé surchargés, qui sont constamment mis au défi d’offrir des soins de meilleure qualité en maîtrisant les coûts. L’objectif reste le même : des diagnostics rapides et précis. Les échographes vasculaires de Philips vous fournissent, à vous et à vos équipes cliniques, les informations et les aperçus dont vous avez besoin. Nos solutions d’exploration vasculaire vous permettent d’effectuer facilement des examens, de façon rapide et cohérente. Vous obtenez ainsi un niveau élevé de fiabilité du diagnostic, même pour les patients techniquement difficiles.










You are about to visit a Philips global content page
Continue